4 możliwe przyczyny szumów usznych – co można ocenić w badaniu USG?

4 możliwe przyczyny szumów usznych – co można ocenić w badaniu USG?

Szumy uszne (tinnitus) to objaw, który może mieć wiele przyczyn – od zaburzeń laryngologicznych po napięcia mięśniowe i problemy naczyniowe. Coraz więcej pacjentów zadaje pytanie: czy USG przy szumach usznych ma sens?

W praktyce klinicznej diagnostyka szumów usznych USG może być cennym elementem pierwszego etapu oceny, szczególnie gdy podejrzewamy przyczynę naczyniową, mięśniową lub związaną ze stawem skroniowo-żuchwowym.

Poniżej przedstawiam 4 sytuacje, w których USG przy szumach usznych może pomóc w znalezieniu źródła problemu.

1. USG stawu skroniowo-żuchwowego a szumy uszne

Staw skroniowo-żuchwowy znajduje się bardzo blisko przewodu słuchowego. Jego patologie często powodują objawy imitujące choroby ucha.

Czy USG wykryje przyczynę szumów usznych w TMJ?

Tak – jeśli przyczyną jest:

  • wysięk w jamie stawu
  • stan zapalny
  • pogrubienie torebki stawowej

USG szumy uszne w kontekście TMJ warto rozważyć, gdy:

  • szum jest jednostronny
  • pojawia się ból przed uchem
  • występują trzaski przy otwieraniu ust

USG jest szybkim i nieinwazyjnym badaniem, które może potwierdzić obecność płynu w stawie.

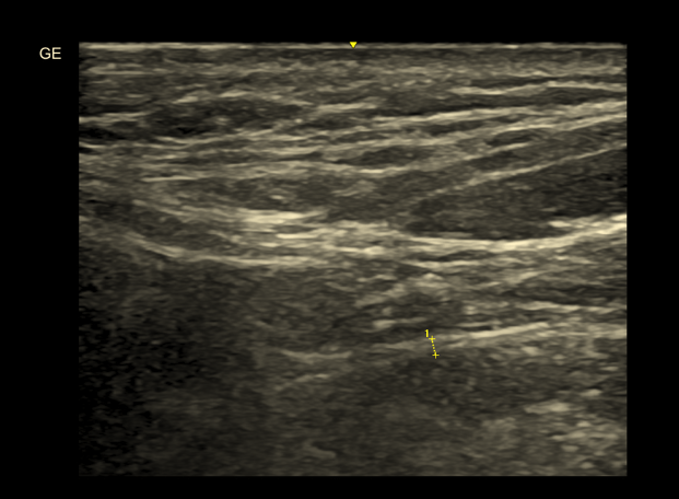
2. Wzmożone napięcie mięśniowe – czy USG ma znaczenie?

Szumy uszne mogą mieć podłoże somatosensoryczne. Nadmierne napięcie mięśni żucia i szyi wpływa na percepcję dźwięku.

W takich przypadkach pacjenci często zauważają, że:

  • szum zmienia się przy ruchu żuchwy
  • nasila się przy stresie
  • współistnieje bruksizm

Diagnostyka szumów usznych USG mięśni

USG pozwala ocenić:

  • pogrubienie mięśni
  • asymetrię
  • cechy przewlekłego przeciążenia

Choć USG nie ocenia funkcji nerwowej, może wskazać strukturalne podłoże napięcia.

3. USG Doppler a tinnitus – kluczowe przy szumach pulsujących

W przypadku szumu zsynchronizowanego z tętnem należy zawsze wykluczyć przyczynę naczyniową.

W diagnostyce wykorzystuje się USG Doppler tętnic i żył szyi, w tym ocenę:

  • Tętnica szyjna wspólna
  • Żyła szyjna wewnętrzna

Kiedy USG przy szumach usznych jest szczególnie ważne?

  • szum ma charakter pulsujący
  • jest jednostronny
  • nasila się w pozycji leżącej

USG Doppler a tinnitus to jedno z podstawowych badań przy podejrzeniu:

  • zwężenia tętnic
  • blaszek miażdżycowych
  • zaburzeń odpływu żylnego

W tej grupie pacjentów USG może realnie wykryć przyczynę szumów usznych.

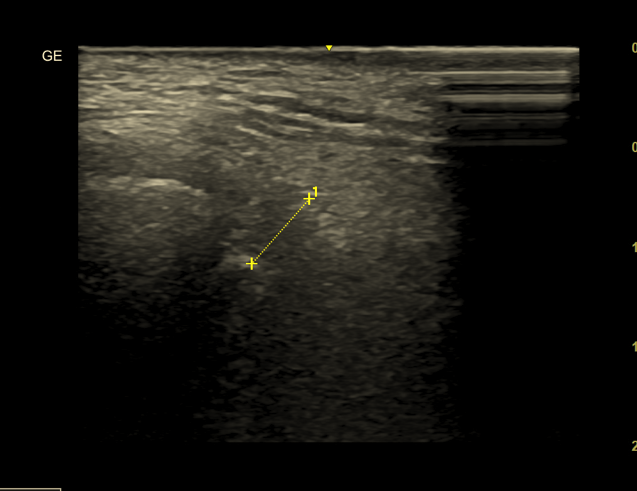
4. Nerw błędny – czy USG może go ocenić przy tinnitus?

Nerw błędny nie jest głównym nerwem słuchowym, ale poprzez regulację autonomiczną może pośrednio wpływać na odczuwanie szumów.

Czy USG wykryje zaburzenia nerwu błędnego?

W USG szyi można ocenić:

  • przekrój poprzeczny nerwu
  • symetrię
  • ewentualny ucisk w pochewce naczyniowej

Choć jest to rzadkie źródło tinnitus, w wybranych przypadkach USG szumy uszne może obejmować również ocenę tej struktury.

Czy USG wystarczy w diagnostyce szumów usznych?

Warto podkreślić, że USG przy szumach usznych nie zastępuje rezonansu magnetycznego ani audiometrii, ale może być:

✔ bezpiecznym badaniem pierwszego rzutu
✔ szybkim sposobem oceny przyczyn naczyniowych
✔ pomocne w diagnostyce TMJ
✔ wsparciem przy podejrzeniu napięciowego podłoża tinnitus

Podsumowanie: kiedy wykonać USG przy szumach usznych?

Rozważ badanie USG, jeśli:

  • masz szumy pulsujące
  • objawy są jednostronne
  • towarzyszy ból w okolicy żuchwy
  • szum zmienia się przy ruchu szyi

Fraza „USG szumy uszne” nie jest marketingowym sloganem – w wielu przypadkach to realny element wczesnej diagnostyki przyczyn tinnitus.

FAQ – USG a szumy uszne

Czy USG wykryje przyczynę szumów usznych?

USG może wykryć niektóre przyczyny szumów usznych, szczególnie gdy mają podłoże:

  • naczyniowe (USG Doppler),
  • związane ze stawem skroniowo-żuchwowym,
  • mięśniowe (napięciowe).

Nie wykryje natomiast zmian w obrębie ucha wewnętrznego ani nerwu słuchowego – do tego potrzebny jest rezonans magnetyczny.

Czy USG szyi pomaga przy szumach usznych?

Tak, szczególnie gdy szum:

  • jest pulsujący,
  • zsynchronizowany z tętnem,
  • jednostronny.

USG Doppler tętnic szyjnych (np. ocena Tętnica szyjna wspólna) pozwala wykryć zwężenia, blaszki miażdżycowe i zaburzenia przepływu, które mogą odpowiadać za tinnitus.

Jakie badanie wykonać przy szumach usznych – USG czy rezonans?

To zależy od objawów:

  • Szum pulsujący → najpierw USG Doppler
  • Jednostronny szum z niedosłuchem → rezonans magnetyczny
  • Ból żuchwy i trzaski w stawie → USG Staw skroniowo-żuchwowy
  • Szum zmieniający się przy ruchu szyi → USG mięśni i tkanek miękkich

W praktyce diagnostyka często łączy kilka metod.

Czy USG wykryje nerw błędny jako przyczynę tinnitus?

USG może uwidocznić Nerw błędny w obrębie szyi i ocenić jego grubość oraz symetrię.

Jednak zaburzenia funkcjonalne nerwu błędnego nie są widoczne w USG. Taka przyczyna szumów usznych jest rzadka i zwykle pośrednia.

Czy USG jest bezpieczne przy szumach usznych?

Tak. USG to:

  • badanie bez promieniowania,
  • nieinwazyjne,
  • możliwe do powtarzania.

Dlatego często stanowi pierwszy etap diagnostyki szumów usznych.

Czy USG Doppler a tinnitus to standardowa procedura?

W przypadku szumów pulsujących – tak.

USG Doppler tętnic i żył szyi jest jednym z podstawowych badań w ocenie przyczyn naczyniowych tinnitus i może realnie wykryć źródło problemu.

Ile trwa USG przy szumach usznych?

Badanie zwykle trwa 15–30 minut, w zależności od zakresu:

  • USG Doppler tętnic szyjnych,
  • USG stawu skroniowo-żuchwowego,
  • USG mięśni szyi,
  • ocena nerwu błędnego.

Udostępnij post

Zobacz również

Zobacz Także