4 objawy ultrasonograficzne zmian w nerwach

4 objawy ultrasonograficzne zmian w nerwach – szczegółowa analiza diagnostyczna

Ultrasonografia nerwów obwodowych (USG nerwów) odgrywa coraz większą rolę w diagnostyce chorób układu nerwowego, stanowiąc doskonałe uzupełnienie badań klinicznych oraz elektromiografii (EMG). Metoda ta pozwala na bezpośrednią ocenę morfologii nerwu, jego echostruktury oraz relacji z otaczającymi tkankami, co ma kluczowe znaczenie w rozpoznawaniu neuropatii uciskowych, zapalnych i pourazowych.

Poniżej omówiono cztery najważniejsze objawy ultrasonograficzne zmian w nerwach, które powinny zwrócić szczególną uwagę lekarza wykonującego badanie USG.


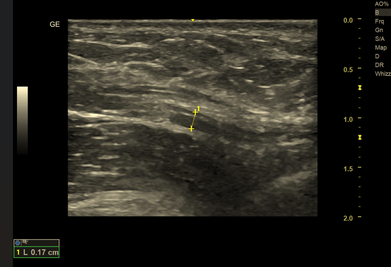
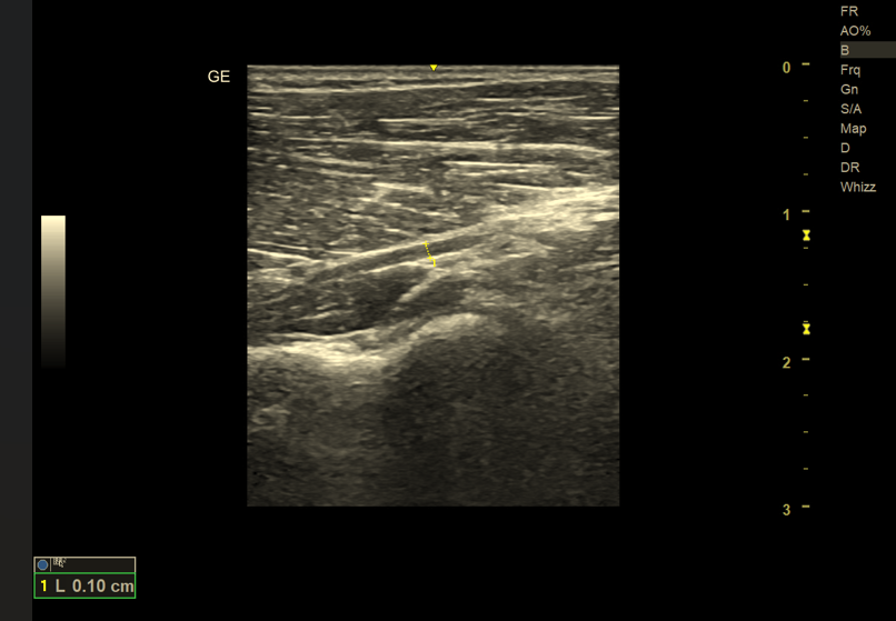
1. Zwiększenie pola przekroju poprzecznego nerwu (CSA)

Jednym z najbardziej obiektywnych i powtarzalnych parametrów w ultrasonografii nerwów jest pole przekroju poprzecznego nerwu (CSA – cross-sectional area). W warunkach prawidłowych wartości te mieszczą się w określonych normach, zależnych od lokalizacji anatomicznej oraz budowy pacjenta.

Patologiczne powiększenie CSA obserwuje się najczęściej w:

  • zespołach uciskowych (np. cieśń nadgarstka, kanał łokciowy),
  • neuropatiach zapalnych i demielinizacyjnych,
  • obrzęku nerwu w przebiegu urazu lub przeciążenia.

Istotnym elementem badania jest porównanie nerwu z odcinkiem referencyjnym (proksymalnym lub dystalnym) oraz z nerwem po stronie przeciwnej, co zwiększa czułość diagnostyczną badania.


2. Zaburzenia echostruktury nerwu

Prawidłowy nerw obwodowy w badaniu USG charakteryzuje się regularną, pęczkową echostrukturą, przypominającą obraz „plastra miodu” w przekroju poprzecznym oraz równoległe pasma w przekroju podłużnym.

Zmiany patologiczne obejmują:

  • utratę wyraźnego podziału na pęczki nerwowe,
  • obniżenie echogeniczności (hipoechogeniczność),
  • niejednorodność struktury wewnętrznej.

Tego typu obraz może świadczyć o obrzęku nerwu, procesie zapalnym, przewlekłym ucisku lub degeneracji włókien nerwowych. Ocena echostruktury ma szczególne znaczenie w różnicowaniu zmian ostrych i przewlekłych.


3. Zwiększone unaczynienie nerwu w badaniu Doppler

W prawidłowych warunkach nerwy obwodowe wykazują minimalne lub niewidoczne unaczynienie w badaniu Doppler. Pojawienie się sygnału naczyniowego w obrębie nerwu jest istotnym objawem patologicznym.

Zwiększony przepływ krwi może wskazywać na:

  • aktywny proces zapalny,
  • przewlekłe drażnienie nerwu,
  • reakcję zapalną w neuropatiach uciskowych.

Ocena Dopplerowska pozwala nie tylko na potwierdzenie obecności zmian, ale również na monitorowanie aktywności choroby i skuteczności leczenia, co czyni ją niezwykle przydatnym narzędziem w praktyce klinicznej.


4. Zmiany relacji anatomicznych i ucisk nerwu przez struktury sąsiednie

Jedną z największych zalet ultrasonografii jest możliwość dynamicznej oceny nerwu w czasie rzeczywistym. Badanie USG umożliwia dokładną analizę relacji nerwu z sąsiadującymi strukturami, takimi jak ścięgna, mięśnie, kości czy zmiany ogniskowe.

W badaniu można uwidocznić:

  • ucisk nerwu przez torbiele, gangliony, osteofity lub guzy,
  • przemieszczenie nerwu podczas ruchu kończyny,
  • zrosty pooperacyjne i zmiany pourazowe.

Dynamiczny charakter USG ma kluczowe znaczenie w diagnostyce niestabilności nerwu oraz zespołów uciskowych zależnych od ruchu.

BIBLIOGRAFIA:

Obuchowicz R, Kruszyńska J, Strzelecki M. Classifying median nerves in carpal tunnel syndrome: Ultrasound image analysis. Biocybernetics and Biomedical Engineering. 2021;41(2):335-351. doi:10.1016/j.bbe.2021.02.00


Ocena możliwości pracowni USG Ultragen w Krakowie

Ultragen dysponuje warunkami umożliwiającymi zaawansowaną diagnostykę ultrasonograficzną nerwów obwodowych. Pracownia wyposażona jest w nowoczesne aparaty USG wysokiej klasy, oferujące obrazowanie o wysokiej rozdzielczości oraz zaawansowane tryby Dopplerowskie, niezbędne do precyzyjnej oceny struktur nerwowych.

Istotnym atutem pracowni jest możliwość wykonywania badań dynamicznych, porównań stron symetrycznych oraz dokładnej analizy morfologicznej nerwów na całej ich długości. Takie zaplecze techniczne pozwala na rzetelną diagnostykę neuropatii uciskowych, pourazowych i zapalnych, a także na monitorowanie efektów leczenia zachowawczego lub operacyjnego.


Podsumowanie

Ultrasonografia nerwów obwodowych jest cennym i coraz szerzej stosowanym narzędziem diagnostycznym. Cztery kluczowe objawy ultrasonograficzne zmian w nerwach to:

  1. Zwiększenie pola przekroju poprzecznego nerwu,
  2. Zaburzenie echostruktury,
  3. Zwiększone unaczynienie w badaniu Doppler,
  4. Zmiany relacji anatomicznych i ucisk nerwu.

Prawidłowa interpretacja tych objawów, wsparta odpowiednim zapleczem technicznym i doświadczeniem diagnosty, pozwala na wczesne rozpoznanie patologii nerwów i skuteczne planowanie leczenia.

4 objawy ultrasonograficzne zmian w nerwach

FAQ – najczęściej zadawane pytania dotyczące USG nerwów

Czy USG nerwów jest badaniem bolesnym?

Nie. Ultrasonografia nerwów obwodowych jest całkowicie nieinwazyjna i bezbolesna. Badanie polega na przyłożeniu głowicy ultrasonograficznej do skóry i nie wiąże się z żadnym naruszeniem tkanek.

Jakie choroby można wykryć za pomocą USG nerwów?

USG nerwów pozwala wykryć m.in.:

  • zespoły uciskowe (np. cieśń nadgarstka, kanał łokciowy),
  • neuropatie zapalne i pourazowe,
  • obrzęk i pogrubienie nerwu,
  • ucisk nerwu przez zmiany sąsiednie (gangliony, torbiele, osteofity),
  • zmiany pooperacyjne i pourazowe.

Czy USG nerwów może zastąpić EMG?

USG nerwów i EMG nie konkurują ze sobą, lecz się uzupełniają. Ultrasonografia ocenia morfologię i relacje anatomiczne nerwu, natomiast EMG bada jego funkcję. Połączenie obu metod znacząco zwiększa trafność diagnostyczną.

Na czym polega ocena dynamiczna nerwu w USG?

Ocena dynamiczna polega na obserwacji nerwu podczas ruchu kończyny. Pozwala to wykryć niestabilność nerwu, jego przemieszczenia lub okresowy ucisk, których nie da się ocenić w badaniach statycznych, takich jak rezonans magnetyczny.

Czy każdy nerw można ocenić w badaniu USG?

Większość nerwów obwodowych jest dostępna w badaniu USG, zwłaszcza w obrębie kończyn górnych i dolnych. Ograniczeniem mogą być bardzo głęboko położone struktury lub znaczna otyłość pacjenta, jednak nowoczesne aparaty wysokiej klasy znacząco zmniejszają te trudności.

Kiedy warto wykonać USG nerwów?

Badanie USG nerwów warto rozważyć w przypadku:

  • drętwienia, mrowienia lub bólu kończyn,
  • osłabienia siły mięśniowej,
  • podejrzenia ucisku nerwu,
  • braku jednoznacznych wyników innych badań,
  • kontroli efektów leczenia zachowawczego lub operacyjnego.

Czy USG nerwów jest dostępne w Krakowie?

Tak. Diagnostyka ultrasonograficzna nerwów obwodowych jest dostępna m.in. w Ultragen, gdzie możliwe jest wykonanie zaawansowanych badań nerwów z wykorzystaniem wysokiej rozdzielczości obrazowania oraz Dopplera.

słowa kluczowe:

  • objawy ultrasonograficzne zmian w nerwach
  • USG nerwów obwodowych
  • ultrasonografia nerwów
  • neuropatia USG
  • diagnostyka nerwów USG
  • jak wygląda uszkodzenie nerwu w USG
  • pogrubienie nerwu w badaniu ultrasonograficznym
  • zaburzenia echostruktury nerwu
  • Doppler w diagnostyce neuropatii
  • USG nerwów Kraków
  • badanie nerwów obwodowych ultrasonografia

  • USG nerwów Kraków
  • diagnostyka nerwów Kraków
  • ultrasonografia nerwów Kraków
  • Ultragen USG nerwów

Udostępnij post

Zobacz również

Zobacz Także