Ból biodra – 5 najczęstszych przyczyn i ich znaczenie diagnostyczne

Ból biodra – 5 najczęstszych przyczyn i ich znaczenie diagnostyczne

Ból biodra to objaw, który może mieć bardzo różne podłoże – od łagodnych przeciążeń tkanek miękkich po zaawansowane zmiany strukturalne stawu biodrowego. Lokalizacja bólu (pachwina, bok biodra, pośladek), charakter dolegliwości oraz okoliczności ich występowania mają kluczowe znaczenie w ustaleniu przyczyny. Poniżej omówiono pięć najczęstszych przyczyn bólu biodra, które są istotne zarówno klinicznie, jak i diagnostycznie.


1. Zapalenie stawu biodrowego

Zapalenie stawu biodrowego jest jedną z podstawowych przyczyn bólu biodra, szczególnie gdy dolegliwości mają charakter głęboki, zlokalizowany w pachwinie lub w centralnej części stawu. Ból zwykle nasila się podczas chodzenia, wstawania z pozycji siedzącej oraz przy ruchach rotacyjnych.

W przebiegu zapalenia dochodzi do:

  • zwiększonej produkcji płynu stawowego,
  • obrzęku błony maziowej,
  • ograniczenia zakresu ruchu.

Przyczyną mogą być choroby zapalne (np. reumatoidalne), infekcje, urazy lub przeciążenia. Nieleczone zapalenie może prowadzić do trwałego uszkodzenia chrząstki stawowej i przyspieszonego rozwoju zmian zwyrodnieniowych.


2. Zapalenie kaletki okołokrętarzowej

Zapalenie kaletki okołokrętarzowej jest jedną z najczęstszych przyczyn bólu bocznej części biodra. Dolegliwości są zwykle powierzchowne, dobrze zlokalizowane i nasilają się przy ucisku, chodzeniu po schodach lub leżeniu na bolesnym boku.

Schorzenie to często występuje u osób:

  • aktywnych fizycznie,
  • z zaburzeniami osi kończyny dolnej,
  • po urazach lub przy przewlekłych przeciążeniach.

W praktyce klinicznej zapalenie kaletki bywa mylone z chorobą zwyrodnieniową biodra lub bólami pochodzenia kręgosłupowego, co opóźnia właściwe leczenie.


3. Zmiany zwyrodnieniowe stawu biodrowego (koksartroza)

Zmiany zwyrodnieniowe stawu biodrowego to częsta przyczyna przewlekłego, narastającego bólu biodra, szczególnie u osób w wieku średnim i starszym. Początkowo ból pojawia się po wysiłku, z czasem jednak może występować również w spoczynku.

Charakterystyczne objawy obejmują:

  • ból w pachwinie promieniujący do uda lub kolana,
  • sztywność poranną,
  • stopniowe ograniczenie ruchomości stawu.

Proces zwyrodnieniowy prowadzi do ścieńczenia chrząstki, zmian w strukturze kości oraz zaburzeń biomechaniki chodu. Wczesne rozpoznanie pozwala spowolnić progresję choroby.


4. Konflikt wewnętrzny stawu biodrowego (FAI)

Konflikt udowo-panewkowy (FAI) dotyczy najczęściej osób młodych, aktywnych fizycznie oraz sportowców. Ból lokalizuje się głównie w pachwinie i pojawia się podczas zginania biodra, długiego siedzenia lub aktywności wymagających rotacji stawu.

Mechanizm polega na nieprawidłowym kontakcie struktur kostnych, co prowadzi do:

  • podrażnienia chrząstki,
  • uszkodzenia obrąbka stawowego,
  • przewlekłego stanu zapalnego.

Nierozpoznany konflikt wewnętrzny biodra może w perspektywie kilku lat prowadzić do przedwczesnych zmian zwyrodnieniowych.


5. Redukcja przestrzeni kulszowo-udowej – rzadsza, ale istotna przyczyna bólu biodra

Redukcja przestrzeni kulszowo-udowej (konflikt kulszowo-udowy) to najrzadsza, a jednocześnie najbardziej problematyczna diagnostycznie przyczyna bólu biodra. Dolegliwości mają często nietypowy charakter i mogą imitować rwę kulszową lub bóle mięśniowe.

Typowe cechy kliniczne:

  • głęboki ból pośladka,
  • promieniowanie do tylnej części uda,
  • nasilenie dolegliwości przy wyproście biodra.

Standardowe badania obrazowe często nie wykazują jednoznacznych zmian, co sprawia, że pacjenci przez długi czas pozostają bez właściwego rozpoznania.


Ból biodra – 5 najczęstszych przyczyn i ich znaczenie diagnostyczne

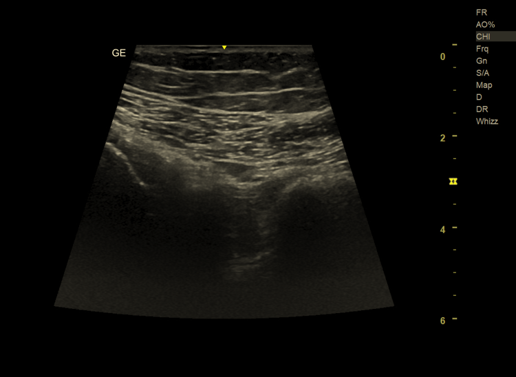
Diagnostyka bólu biodra – rola badania USG w Krakowie

Warto podkreślić, że wiele z opisanych schorzeń może być skutecznie diagnozowanych za pomocą badania ultrasonograficznego (USG). USG biodra umożliwia:

  • ocenę kaletek maziowych,
  • wykrycie wysięku w stawie,
  • ocenę ścięgien, mięśni i tkanek miękkich,
  • dynamiczną analizę struktur podczas ruchu.

Badanie USG jest bezpieczne, nieinwazyjne i może stanowić pierwszy etap diagnostyki bólu biodra, szczególnie w przypadkach zapalenia kaletki, zmian zapalnych czy konfliktów tkanek miękkich.

➡️ Diagnostyka USG schorzeń biodra jest możliwa w Ultragen, gdzie wykonywane są specjalistyczne badania układu mięśniowo-szkieletowego, ukierunkowane na precyzyjne rozpoznanie przyczyny bólu biodra.

słowa kluczowe USG biodra Kraków

diagnostyka bólu biodra Kraków

badanie USG biodra Kraków

pracownia USG Kraków

ultrasonografia narządu ruchu Kraków

Ultragen Kraków

FAQ – ból biodra i jego diagnostyka

❓ Jakie są najczęstsze przyczyny bólu biodra?

Najczęstsze przyczyny bólu biodra to zapalenie stawu biodrowego, zapalenie kaletki okołokrętarzowej, zmiany zwyrodnieniowe (koksartroza), konflikt wewnętrzny stawu biodrowego (FAI) oraz – rzadziej – redukcja przestrzeni kulszowo-udowej. Każda z tych jednostek chorobowych może dawać inny charakter bólu i wymaga odmiennego podejścia diagnostycznego.


❓ Czy ból biodra zawsze oznacza zmiany zwyrodnieniowe?

Nie. Choć zmiany zwyrodnieniowe są częstą przyczyną bólu biodra u osób starszych, u młodszych pacjentów dolegliwości mogą wynikać z zapalenia kaletki, konfliktu udowo-panewkowego lub przeciążeń tkanek miękkich. Dlatego sam ból biodra nie jest równoznaczny z chorobą zwyrodnieniową.


❓ Gdzie najczęściej boli biodro przy problemach ze stawem?

W chorobach stawu biodrowego ból najczęściej lokalizuje się w pachwinie. Ból po bocznej stronie biodra sugeruje zapalenie kaletki okołokrętarzowej, natomiast ból pośladka lub tylnej części uda może wskazywać na konflikt kulszowo-udowy lub inne rzadkie patologie biodra.


❓ Czy zapalenie kaletki okołokrętarzowej jest groźne?

Zapalenie kaletki okołokrętarzowej nie jest schorzeniem groźnym dla życia, ale nieleczone może prowadzić do przewlekłego bólu i znacznego obniżenia komfortu codziennego funkcjonowania. Wczesna diagnostyka i odpowiednie leczenie pozwalają zwykle na szybkie ustąpienie objawów.


❓ Co to jest konflikt udowo-panewkowy (FAI)?

Konflikt udowo-panewkowy (FAI) to nieprawidłowy kontakt między głową kości udowej a panewką stawu biodrowego. Prowadzi on do przewlekłego podrażnienia chrząstki i obrąbka stawowego, objawiając się bólem pachwiny, szczególnie podczas zginania biodra i długiego siedzenia.


❓ Dlaczego redukcja przestrzeni kulszowo-udowej jest trudna do rozpoznania?

Redukcja przestrzeni kulszowo-udowej jest rzadka i daje niespecyficzne objawy, często przypominające rwę kulszową lub bóle mięśniowe. Standardowe badania obrazowe mogą nie wykazywać jednoznacznych zmian, dlatego schorzenie to bywa długo nierozpoznane.


❓ Czy USG wystarczy do diagnostyki bólu biodra?

W wielu przypadkach tak. Badanie USG biodra pozwala ocenić kaletki, wysięk w stawie, ścięgna oraz tkanki miękkie. Jest szczególnie przydatne w diagnostyce zapaleń, przeciążeń i konfliktów tkanek miękkich. W bardziej złożonych przypadkach USG może stanowić pierwszy etap diagnostyki przed dalszymi badaniami.

Udostępnij post

Zobacz również

Zobacz Także